FIRST PODOLOGY FOOT CARE CENTER IN QATAR AND ALL MIDDLE EAST
FIRST PODOLOGY FOOT CARE CENTER IN QATAR AND ALL MIDDLE EAST

The best shoes for babies are ... no shoes!
Being a parent (especially for the first time) is so exciting. We try different looks for babies, trying to capture those sweet moments. And shoes are a part of it.
Nowadays, we can find the newest fancy shoe model in size for a 6-month-old baby.
And it would be nice if, in reality, it wouldn't be a tragedy for the whole generation.
Shoes purpose is to protect the feet, being durable at the same time.
Fashion is the last thing you need to worry about.
Babies’ feet are very soft and mostly made of cartilage in the first years of life. Their bones are still forming, and they have a thick layer of fat that makes their feet look chubby. This is why it’s important not to restrict their feet with tight or rigid shoes, as it could affect the natural shape and growth.
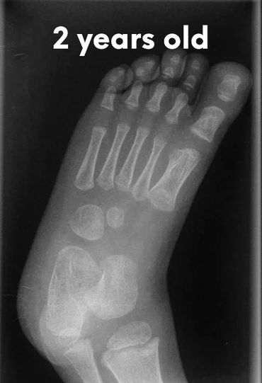
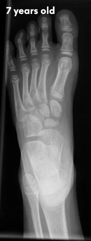
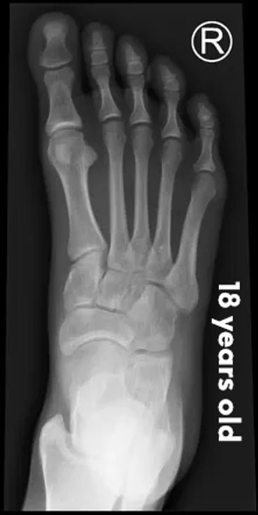
Let's check what their foot bones look like.
Pictures below will let you understand how babies' feet are developed.









Dear parents, children’s feet are developing structures, and the absence of an arch is a typical stage of development. The developing foot is not structurally ‘flat’; it is a highly compliant and plastic, that can respond to multiple factors, many of which we do not understand. Detailed X-RAY pictures above, let us understand that babies' foot bones are not connected till the teen years. Only at the age of 14, we may consider that the bones in the feet are developed and have reached their connections.
At the age of 18, we have fully completed foot structure, where muscles and bones create the whole support system.

Flat feet are a normal stage of development for children under the age of 3. The arch on the inside of the foot has not yet formed, and as children grow and walk, the soft tissues in the feet gradually tighten, shaping the arch over time. Most children have what is called a flexible flatfoot, where the arch only appears when they sit, tiptoe, or when the big toe is gently bent back.
Flexible flatfoot is very common and usually painless. It does not stop children from walking, running, or playing sports, and most children outgrow it naturally without any problems later in life. If a child has no pain or discomfort, no treatment is needed. Stiff shoes or arch-support insoles will not change the shape of the foot — they simply hold the foot in a fixed position, which is not necessary for healthy feet. (thanks for the detailed information to York and Scarborough teaching hospitals)
The best way to help feet develop naturally is through movement. Walking barefoot on different surfaces, gentle stretching, and strengthening exercises help build muscles and encourage healthy arches to form over time.

That's why wearing shoes, which won't restrict healthy movement, is key. Barefoot-style shoes are a perfect combination of comfort and protection.
The only thing you need to take care of is the length of the shoe's insole.
Now we know, that foot bones are not connected till a kid reaches 14, that's why it is very important to make sure the length of the shoes will fit the actual length of the foot.
Kids grow fast, we recommend checking their feet length regularly, at least once in 3-4 months, and changing the shoes according to the actual size of your child's foot.

While your child is not walking, he doesn't need shoes at all.
When they start their first steps, make sure the sole is super flexible, to let them feel what they step on. For the best results, babies should go barefoot indoors as much as possible and wear barefoot shoes only when protection is needed outdoors.
Our feet are connected neurologically to our brain; that's why it is the number one reason why we need to feel the ground. It helps the brain to give the right and highly structured commands to move.
Later, when kids freely walk and run, wearing barefoot shoes encourages healthy muscle and arch development. They help kids build strength in their toes, ankles, and legs.

Look at the great comparison, how the same child moves wearing stiff-soled shoes and flexible ones. Thank you @barefootbritofficial
Never choose those types of shoes for your child.
Thanks to @thebarefootshoeguide for creating this video
In this video, a mother explains how important to have wide toebox area and flexible sole. Thank you

Softstar Roo baby shoes are soft leather moccasins with suede soles and a warm sheepskin insole, designed to stay on with a gentle elastic ankle. They are barefoot-friendly with a wide toe box and flexible sole, letting babies feel the ground and develop balance naturally.

Zutano baby shoes are soft bootie-style shoes made from fleece or cotton with elastic or snaps to stay on. They are lightweight, flexible, and easy to wash, keeping baby feet cozy while allowing natural movement.

Starry Knight Design baby shoes are handmade leather and suede shoes with soft soles and elastic backs that keep them secure on feet. They are flexible, lightweight, and come in many styles like moccasins, T-straps, and booties, making them comfortable for early walking.

Posh Panda baby shoes are handmade in Alberta, Canada, using high-quality genuine leathers and sometimes crochet or knit materials, often lined with sheep insoles. They offer soft-sole moccasins, boots, and rubber soles for older toddlers, with elastic or adjustable features to help them stay on little feet.

BirdRock Baby moccasins are made from soft leather with thin, flexible bottoms that let babies feel the ground as they learn to walk. They come in classic moccasins, Mary Janes, and boot styles, with an option for firmer soles for toddlers.

Warriors Apparel baby moccasins are handmade fabric shoes that are lightweight and soft enough for infants and toddlers, offering breathable comfort and easy wear.

Ebooba shoes are soft-sole leather moccasins and booties handmade in Ukraine, offered in a wide range of sizes (from newborn up through early kids). They are praised for being affordable, well made, with many cute designs and some plain style options, plus decent flexibility so little feet can move more freely.

One of the favourites for toddlers and older kids. Definitely requires review and try.

Grow your child wild. Let their feet fully feel the ground. Get a personal discount from Vassilena, founder of Medved podo 15% off. Press the link below to shop

affordable option for your little one. Get additional 10% discount with code MEDVEDPODO
Follow the link below.

Here you find cute and colorful pair for any occasion. Get a discount of 40% at your first order. Use the code MEDVEDPODO40

For great comfort and active movement. Check the SPLAY shoes out.

Quick delivery from Amazon to your doorstep. The most affordable options.

Trusted brand with many years of high-quality shoes production.