A developmental guide from first steps to fully formed support systems.
The best shoes for babies are ... no shoes!
Being a parent (especially for the first time) is so exciting. We try different looks for babies, trying to capture those sweet moments. And shoes are a part of it. Nowadays, we can find the newest fancy shoe model in size for a 6-month-old baby. And it would be nice if, in reality, it wouldn't be a tragedy for the whole generation.
Shoes purpose is to protect the feet, being durable at the same time. Fashion is the last thing you need to worry about.
Babies’ feet are very soft and mostly made of cartilage in the first years of life. Their bones are still forming, and they have a thick layer of fat that makes their feet look chubby. This is why it’s important not to restrict their feet with tight or rigid shoes, as it could affect the natural shape and growth.
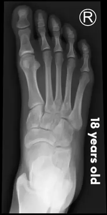
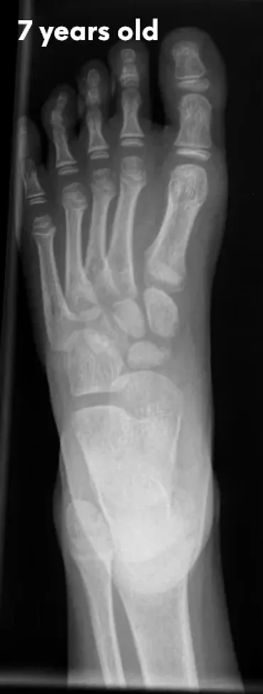
The pictures below will let you understand how babies' feet are developed. Here you can see how bones develop:
6 Months
10 Months
2 Years Old
5 Years
7 Years
12 Years
18 YearsDear parents, children’s feet are developing structures, and the absence of an arch is a typical stage of development. Detailed X-RAY pictures above let us understand that babies' foot bones are not connected till the teen years. Only at the age of 14 may we consider that the bones in the feet have reached their connections. At the age of 18, we have fully completed foot structure, where muscles and bones create the whole support system.
Flat feet are a normal stage of development for children under the age of 3. The arch on the inside of the foot has not yet formed, and as children grow and walk, the soft tissues in the feet gradually tighten, shaping the arch over time. Most children have what is called a flexible flatfoot, where the arch only appears when they sit or tiptoe.
Flexible flatfoot is very common and usually painless. Stiff shoes or arch-support insoles will not change the shape of the foot — they simply hold the foot in a fixed position, which is not necessary for healthy feet. (Thanks for the detailed information to York and Scarborough teaching hospitals).
The best way to help feet develop naturally is through movement. Walking barefoot on different surfaces, gentle stretching, and strengthening exercises help build muscles and encourage healthy arches to form over time.
That's why wearing shoes which won't restrict healthy movement is key. Barefoot-style shoes are a perfect combination of comfort and protection. Our feet are connected neurologically to our brain; that's why it is the number one reason why we need to feel the ground.

Soft leather moccasins with suede soles and warm sheepskin. Barefoot-friendly with a wide toe box.
shop here

Handmade leather and suede shoes with soft soles. Flexible and secure for early walking.
shop here
Handmade in Canada using genuine leather. Elastic features help them stay on little feet.
shop here
Classic moccasins and Mary Janes with thin, flexible bottoms for sensory feedback.
shop here
Handmade fabric shoes that are lightweight and soft enough for infants and toddlers.
shop here

Grow your child wild. Let their feet fully feel the ground. Get a personal discount from Vassilena.
shop here

Cute and colorful pairs for any occasion. Massive discount for first-time orders.
shop here
One of the favorites for toddlers and older kids. Exceptional wide toe box design.
shop here


Trusted brand with many years of high-quality shoes production for all weather.
Shop here